過蓋咬合
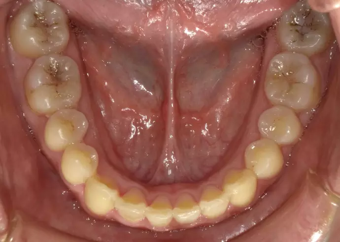
過蓋咬合といいますが、下の前歯が隠れてしまうような深い咬み合わせでした(黄色の矢印部)。また右下の前歯は重なりがひどい状態でした。通常は下の中間の歯を抜歯して治療されますが、矯正用のインプラントを利用して歯を抜歯しないで治療が終了したケースです。
※インプラントを利用することで、全ての患者さんが歯を抜かなくて治療ができるわけではありません。症状によっては抜歯が必要になります。




緑色の矢印部が矯正治療用のインプラントです。いろいろな位置に小型のネジをはめて使います。種類も豊富にあります。このインプラントを利用して一度に多くの歯を動かすことができるようになりました。
ネジをはめるときは少し麻酔をするだけです。また矯正治療が終わったら簡単にはずすことができ、元通りになります。
詳しい治療の内容
前歯の咬み合わせについては下の前歯が隠れてしまうような深い咬み合わせでした(過蓋咬合)。また右下の前歯は重なりがひどい状態でした(黄色の矢印)。
矯正用のインプラント()を利用して右下の犬歯から奥歯を一括で奥に引っ込めて行きます(緑の矢印部)。
上手く歯が引っ込んでいきました。
治療前は凸凹がひどく、中間の歯を1本抜歯して治療する可能性がありましたが、矯正用のインプラントを使う事により、抜歯の必要がなくなり治療を終了することができました。前歯の深いかみ合わせ(過蓋咬合)も治っています。
| 主訴 | 下の歯が前にはみ出している。 |
|---|---|
| 症状 | 過蓋咬合、右下犬歯の唇側転位。 |
| 治療内容 | 右下の奥歯付近に歯科矯正用アンカースクリューを埋入。右下の親知らずを抜歯。この部分に向かって右下の大臼歯から犬歯までを引っ込めていった。マルチブラケット装置に加え歯科矯正用アンカースクリューを利用することにより効率よく治療が進んだ。過蓋咬合も改善した。その後、上下に取り外しができる保定装置を用いて保定観察を行った(半年に一度の来院)。 |
| 年齢 | 25歳 女性 |
| 装置 | 歯の表側にブラケット装置 歯科矯正用アンカースクリュー |
| 抜歯部位 | 抜歯した歯はない |
| 動的治療期間と 通院回数 |
2年7ヶ月 34回 |
| 治療費 | 105万円(税込) *初診料・精密検査料・矯正料・処置料・ 歯科矯正用アンカースクリュー2本分(66,000円)を含む |
| リスク・副作用 | 成人の症例で歯の移動量も多いので、中間の歯を抜歯して治療する可能性もある。歯周病にならないようブラッシングが重要です。歯肉退縮や歯根吸収のリスクもあります。動的治療後は夜間を中心に継続して保定装置をしないと、過蓋咬合が再発することがあります。 |
全体的な矯正治療の標準的な
治療費、治療期間、通院回数
| 治療費(税込) | 90万~110万(税込) *初診料・精密検査料・矯正料・処置料等を含む |
|---|---|
| 治療期間 | 2年6か月~3年 |
| 通院回数 | 32~38回 |
*矯正歯科治療についても、一般的なリスクと副作用が伴います。治療を受けられる方は事前にご一読下さい。
|
① |
矯正歯科装置を付けた後しばらくは違和感、不快感、痛みなどが生じることがありますが、一般的には数日間~1、2週間で慣れてきます。 |
|---|---|
|
② |
歯の動き方には個人差があり、予想された治療期間が延長する可能性があります。 |
|
③ |
矯正歯科装置の使用状況、顎間ゴムの使用状況、定期的な通院など、矯正歯科治療には患者さんの協力が必要であり、それらが治療結果や治療期間に影響します。 |
|
④ |
治療中は、装置が付いているため歯が磨きにくくなります。むし歯や歯周病のリスクが高まりますので、丁寧に磨いたり、定期的なメンテナンスを受けたりすることが重要です。また、歯が動くと隠れていたむし歯が見えるようになることもあります。 |
|
⑤ |
歯を動かすことにより歯根が吸収して短くなることがあります。また、歯ぐきがやせて下がることがあります。 |
|
⑥ |
ごくまれに歯が骨と癒着していて歯が動かないことがあります。 |
|
⑦ |
ごくまれに歯を動かすことで歯の神経が障害を受けて壊死することがあります。 |
|
⑧ |
矯正歯科装置などにより金属等のアレルギー症状が出ることがあります。 |
|
⑨ |
治療中に「顎関節で音が鳴る、あごが痛い、口が開けにくい」などの顎関節症状が出ることがあります。 |
|
⑩ |
様々な問題により、当初予定した治療計画を変更する可能性があります。 |
|
⑪ |
歯の形を修正したり、咬み合わせの微調整を行ったりする可能性があります。 |
|
⑫ |
矯正装置を誤飲する可能性があります。 |
|
⑬ |
装置を外す時に、エナメル質に微小な亀裂が入る可能性や、かぶせ物(補綴物)の一部が破損する可能性があります。 |
|
⑭ |
装置が外れた後、保定装置を指示通り使用しないと後戻りが生じる可能性が高くなります。 |
|
⑮ |
装置が外れた後、現在の咬み合わせに合った状態のかぶせ物(補綴物)やむし歯の治療(修復物)などをやりなおす可能性があります。 |
|
⑯ |
あごの成長発育によりかみ合わせや歯並びが変化する可能性があります。 |
|
⑰ |
治療後に親知らずが生えて、凸凹が生じる可能性があります。加齢や歯周病等により歯を支えている骨がやせるとかみ合わせや歯並びが変化することがあります。その場合、再治療等が必要になることがあります。 |
|
⑱ |
矯正歯科治療は、一度始めると元の状態に戻すことは難しくなります。 |