1.歯を抜かないと
矯正治療はできないの?
全ての患者さんが、歯を抜かないで矯正ができればいいのですが、実際には抜かないときちんと治らない例もあります。また子供に比べて大人の患者さんは顎の成長が終わっているので抜歯が必要なケースが多くなります。
「歯を抜いて治療」、「歯を抜かなくて治療」を判断するためには色々な検査をして決定します。
この判断材料の一つとして、歯と顎の大きさのアンバランスが挙げられます。
現代人は歯が収まる顎の骨が小さく、逆に歯のサイズは大きくなっていると言われています。このアンバランスが大きいと、中間の歯を間引きして(抜歯をして)治療することがあります。
しかし同じような症状でも、歯を抜かないと治療できない例と、抜かなくても治療できる例があります。その判断基準の一つとして、以下のイラストや治療例を参考にしてください。
歯を抜かなくても矯正できる場合とは?
成長期の子供の場合、歯が収まる顎の骨が
広がれば、歯を間引きしなくても
治療できる場合があります。
しかしすべての患者さんが自由自在に顎が広がる
わけではなく、個人差があります。
子供でも十分に顎を広げられない場合は、
歯を抜いて(間引きして)
治療することがあります。
歯を抜かないと
矯正できない場合とは?
大人の場合は、歯が収まる顎の骨の成長は終了していますから、
歯を抜いて治療することが多くなります。
同じような症状でも、歯を抜かないと治療できない例と、抜かなくても治療できる例。 症例を通じて見ていきましょう。
2.矯正治療による歯の痛み?
痛みに優しい治療とは?
歯の矯正はすごく痛そうなイメージがあると思います。また子供の頃矯正治療を経験された親御さんから、「私の場合はすごく痛かったです、あの痛みを自分の子供が耐えられるのか心配です」と言われることがあります。
安心してください。治療器具も治療技術も日進月歩で、痛みに配慮した器具や
治療法を採用しています。
矯正治療による痛みは治療期間中、ずっと続くわけではありません。通院間隔は月に一度ですが、治療を受けた日から3日間位は歯が浮いたような痛みを感じることがあります。その後3~4日で痛みは治まってしまいます。治療器具も治療技術も日進月歩で、痛みに配慮した治療法を実践しております。お子様でも我慢できる範囲の痛みだと考えてください。痛みをほとんど感じない方もいらっしゃいます。実際の治療例を通じてご説明します。
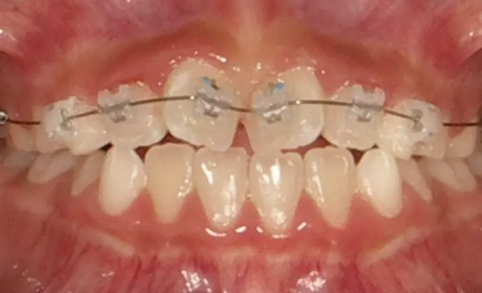
上下の前歯がデコボコしている
9歳の女児
初診時
-
痛みに配慮した矯正器具
この歯に付いている器具は当院で小学校低学年のお子様から大人の患者さんまで使っているセルフライゲーションブラケット(クリッピーC)です。従来のブラケットと比べて、歯を動かすためのワイヤーとブラケットの間の摩擦を減らすように設計されています。歯が動きやすく、治療中の不快感が軽減されると言われています。またセラミック製ですから、歯の色に近いため、金属製のブラケットよりも目立ちにくい特徴があります。
ワイヤーは主に形状記憶合金ワイヤーを使います。非常に弱い力で歯を動かすことができますので、皆様が想像されるような心配はないと思います。※お子様の症状や年齢により、このワイヤーによる治療器具ではなくマウスピース型を使う場合もあります。
約6週間後
-
約9割の方が思ったより楽だった
治療開始から約6週間後の様子です。針金が真っすぐに見えてくるのは、隣同士の歯の段差がなくなり、歯が並んできているからです。
当院では、歯を動かし始めて6週後の患者さんに痛みについての感想をお聞きしています。約9割の患者さんが「自分が想像していたより楽だった。ほとんど違和感がなかった。」という答えをいただいております。昔とは大きな差があると思います。
1年6か月後
数種類のワイヤーを取り換え
器具をはずす直前の様子-
矯正治療はなぜ歯の痛みを伴う?
歯に連続した力を加えると、歯あるいは歯の周りの組織に軽い炎症が起きます。この炎症反応により歯が動くのですが、この時に痛みを感じることがあります。つまり全く痛みや違和感のない矯正治療は理論上あり得ないのです。
しかし問題は、「いかに痛みに配慮した治療を進めていくか」ということになります。そのために治療技術や器具の進歩が必要となります。
部分的な矯正治療終了後2年の様子
| 主訴 | 上下の前歯がでこぼこしている |
|---|---|
| 症状 | 上下顎前歯部の叢生(デコボコ) |
| 治療内容 | 上と下の前歯の部分的な矯正治療を行った(全体の永久歯に器具を付ける本格的な矯正治療ではありません)。前歯のデコボコとかみ合わせを正しくしていきました。 前歯の治療終了後は、2年程度保定装置を装着し経過をみていきました(半年に一度の来院)。 |
| 年齢 | 9歳の女児 |
| 装置 | 上下の前歯と6歳臼歯の表側に矯正器具を装着 |
| 抜歯部位 | 抜歯した歯はない |
| 動的治療期間と 通院回数 |
1年7ヶ月 21回 |
| 治療費 | 48万円(税込) *初診料・精密検査料・矯正料・処置料等を含む |
| リスク・副作用 | 全部の歯に装置を付けていないので、食事などの際ワイヤーが曲がることがある。きちんと歯を磨く習慣をつけないと、虫歯や歯肉炎を起こしやすい。 |
部分的な矯正治療の標準的な
治療費、治療期間、通院回数
| 治療費(税込) | 45万~55万(税込) *初診料・精密検査料・矯正料・処置料等を含む |
|---|---|
| 治療期間 | 1年6か月~2年 |
| 通院回数 | 20~26回 |
*矯正歯科治療についても、一般的なリスクと副作用が伴います。治療を受けられる方は事前にご一読下さい。
|
① |
矯正歯科装置を付けた後しばらくは違和感、不快感、痛みなどが生じることがありますが、一般的には数日間~1、2週間で慣れてきます。 |
|---|---|
|
② |
歯の動き方には個人差があり、予想された治療期間が延長する可能性があります。 |
|
③ |
矯正歯科装置の使用状況、顎間ゴムの使用状況、定期的な通院など、矯正歯科治療には患者さんの協力が必要であり、それらが治療結果や治療期間に影響します。 |
|
④ |
治療中は、装置が付いているため歯が磨きにくくなります。むし歯や歯周病のリスクが高まりますので、丁寧に磨いたり、定期的なメンテナンスを受けたりすることが重要です。また、歯が動くと隠れていたむし歯が見えるようになることもあります。 |
|
⑤ |
歯を動かすことにより歯根が吸収して短くなることがあります。また、歯ぐきがやせて下がることがあります。 |
|
⑥ |
ごくまれに歯が骨と癒着していて歯が動かないことがあります。 |
|
⑦ |
ごくまれに歯を動かすことで歯の神経が障害を受けて壊死することがあります。 |
|
⑧ |
矯正歯科装置などにより金属等のアレルギー症状が出ることがあります。 |
|
⑨ |
治療中に「顎関節で音が鳴る、あごが痛い、口が開けにくい」などの顎関節症状が出ることがあります。 |
|
⑩ |
様々な問題により、当初予定した治療計画を変更する可能性があります。 |
|
⑪ |
歯の形を修正したり、咬み合わせの微調整を行ったりする可能性があります。 |
|
⑫ |
矯正装置を誤飲する可能性があります。 |
|
⑬ |
装置を外す時に、エナメル質に微小な亀裂が入る可能性や、かぶせ物(補綴物)の一部が破損する可能性があります。 |
|
⑭ |
装置が外れた後、保定装置を指示通り使用しないと後戻りが生じる可能性が高くなります。 |
|
⑮ |
装置が外れた後、現在の咬み合わせに合った状態のかぶせ物(補綴物)やむし歯の治療(修復物)などをやりなおす可能性があります。 |
|
⑯ |
あごの成長発育によりかみ合わせや歯並びが変化する可能性があります。 |
|
⑰ |
治療後に親知らずが生えて、凸凹が生じる可能性があります。加齢や歯周病等により歯を支えている骨がやせるとかみ合わせや歯並びが変化することがあります。その場合、再治療等が必要になることがあります。 |
|
⑱ |
矯正歯科治療は、一度始めると元の状態に戻すことは難しくなります。 |
3.全体の歯を矯正する場合、
歯の表側、裏側、マウスピース?
どの装置がいいのでしょう?
矯正器具はどれを使っても同じ治療効果が得られる訳ではありません。つまり使う器具により治療の結果が大きく変わってしまいます。
また学問的に言うと歯は持続的(連続的)で適正な力を加える事で正しく動きます。
最近目立ちにくさや手軽さを売りにしたマウスピース型矯正装置が多く宣伝されています。これは軽度な症状にはいいのですが、構造的に全ての不正咬合(症状)の方をきちんと治せる装置ではありません。また自分で取りはずしができますから、はめたりはめなかったりでは、歯を動かすのに大切な持続的な力が働かない、つまりきちんと治らないことになります。
「全体の歯の矯正」に使われている矯正器具の種類とその特徴を点数で評価してあります。ご参考にしてください。
▼表は左右にスクロールしてご確認ください。※同じ症状で、それぞれの矯正器具を使ったと仮定した場合の点数評価です
-
メタルブラケット(表側)
①金属製のブラケットとワイヤーで構成
昔からあり古い感じを受けますが、装置としての性能は優れています。アメリカでは最もポピュラーですが、日本ではブラケットがギラギラ目立つということで敬遠されがちです。当院では現在使っていません。
-
セラミックブラケット
(表側、審美ブラケット)②セラミック製のブラケットとワイヤーで構成
審美ブラケットと言われるもので、セラミック製ですから目立ちません。これに細いワイヤーを使用します。他人からは、「じっと見ないと器具を付けているのが分からない」と言われます。当院では前歯にこのセラミックブラケット、または強度を増すため白くコーティングされた金属を内蔵したセラミックブラケットを使っています。普段見えない奥歯には食事中に壊れにくい金属ブラケットを選択しています。
これは当院一押しの装置で、目立ちにくく、痛みにも優しく、また経済性にも優れていますので小学生から大人の患者さんまで幅広く使用しています。 -
セラミックブラケット
(表側、審美ブラケット)と
ホワイトワイヤー③セラミック製のブラケットとホワイトワイヤーで構成
審美ブラケットは上記と同じですが、白くコーティングされたワイヤーを使いより目立ちにくくしたものです。
ワイヤーは治療のステップごとに変えていきます。ごく一時期ですが治療の都合上、通常の金属色のワイヤーを使うことがあります。
費用は②よりも割高になります。 -
ハーフリンガル
上の歯は裏側にブラケット装置
下の歯は表側にセラミックブラケットを
付けます④ハーフリンガル
会話したり笑ったりする時に目立つのは上の歯です。下の歯はほとんど目立ちません。矯正器具が少しでも目立つのが気になる方はこのハーフリンガルがおすすめです。上の歯の裏側は見えないので金属ブラケット、下の前歯は表側にセラミックブラケットを付けて審美面を追及した方法です。普段見えない下の奥歯には食事中に壊れにくい金属ブラケットを使います。
費用は③よりも割高になります。※上下とも裏側ですと費用がかなり高額になります。また症状により治療が難しくなる場合があります。
-
マウスピース型矯正装置
⑤マウスピース型矯正装置。軽度な症状の方に適応できます。
マウスピース型矯正装置は全ての不正咬合を治せる万能な装置ではありません。むしろ軽度な症状の方に適しています。また1日に20時間以上の装着が推奨されていますので、つけたり、つけなかったりでは上手く治りません。
矯正を始めて最初の2か月くらいはいいのですが、その後だんだん使う時間が短くなり、結局治療が進まなくなるケースをよく見受けます。ですから症状が軽度な方で、短期間で治療が終了できる見込みのある方に適していると思います。
イラストで見る歯の表側矯正と
裏側矯正の違い
矯正治療で歯を動かす場合、歯についているブラケットとブラケットの距離が長いほど、歯を上手くコントロールでき痛みも少なくなります。
下の図でブラケット間距離の関係は、
a>d b>e c>fとなるので、
歯の表側にブラケットを付けた方が裏側よりも治療が有利になります。
4.マウスピース矯正は
軽度な不正咬合に

-
近年マウスピース型矯正装置が紹介されることが多いのですが注意が必要です。
ここで紹介する軽度な不正咬合の症例には可能ですが、現段階では全ての症状に有効な装置ではありません。下記の利点、欠点、また学会からの見解も参考にしてください。
主な利点
- 透明なので目立ちにくい。
- 手軽に使えて簡単に取りはずしができる。
- 歯に固定する装置に比べ、食事や歯みがきの時にはずせるので楽。
主な欠点
- 装置の性能としてはまだ発展途上で、どんな症状の方でもきれいに治るわけではありません。
口腔内スキャナーを使いデジタル化してマウスピースを作製するのですが、マウスピースの構造的な問題や作製ソフトが不完全なため予想した歯の動きにならないことがあります。 - 上記の利点にある「手軽に使えて簡単に取りはずしができる」が大きな欠点になることがあります。
マウスピース型矯正装置は1日20時間以上の使用が推奨されています。
もし全体的な矯正治療をする場合、治療期間は2年位かかります。この間1日20時間以上の使用を続けなければなりません。自分で取りはずしができる装置は、治療を始めて最初の1~2か月はよく使うのですが、その後は、はめたり、はめなかったりになることが多いです。
使う時間が短いと歯はきちんと動きません。また矯正治療のため抜歯が必要な患者さんで使用時間が短いと、最初よりも悪くなったり、咬みにくくなってしまう危険もあります。
*従来の歯の表面に固定した矯正装置は、同じように見えても日進月歩で、今は目立ちにくく(審美的)、歯に持続して安定した力が働くため、より動かしやすい治療法であると考えます。
*軽度な症状で短期間の装着を頑張れる患者さんはマウスピース型矯正装置でも治療は可能です。以下の治療例をご覧ください。
*マウスピース型矯正装置についての注意は、公益社団法人 日本矯正歯科学会から見解がでていますので参考にしてください。
https://www.jos.gr.jp/4348
軽度な不正咬合 マウスピース矯正
症状:前歯に少し隙間がある
マウスピースをつけ治療開始
治療後
| 主訴 | 上の前歯に隙間がある |
|---|---|
| 症状 | 上顎の正中離開 |
| 治療内容 | 上顎の左右中切歯間の隙間を閉じるためマウスピース型矯正装置を装着。一日20時間以上10か月間つけていただいた。正中離開が改善したため保定装置を作製し約2年間保定観察を行った(半年に一度の来院)。 |
| 年齢 | 15歳 男 |
| 装置 | マウスピース型矯正装置 |
| 抜歯部位 | なし |
| 動的治療期間と 通院回数 |
10ヶ月 12回 |
| 治療費 | 45万円(税込) *初診料・精密検査料・矯正料・処置料等を含む |
| リスク・副作用 | マウスピース型矯正装置は一日に決められた時間、続けてつける必要があります。 つけたり外したりでは歯は全く動きません。 外している時間が多いとマウスピースをはめた際、歯の痛みが強くなります。マウスピースも浮き上がってしまいます。 |
部分的な矯正治療の標準的な
治療費、治療期間、通院回数
| 治療費(税込) | 45万~55万(税込) *初診料・精密検査料・矯正料・処置料等を含む |
|---|---|
| 治療期間 | 1年6か月~2年 |
| 通院回数 | 20~26回 |
*矯正歯科治療についても、一般的なリスクと副作用が伴います。治療を受けられる方は事前にご一読下さい。
|
① |
矯正歯科装置を付けた後しばらくは違和感、不快感、痛みなどが生じることがありますが、一般的には数日間~1、2週間で慣れてきます。 |
|---|---|
|
② |
歯の動き方には個人差があり、予想された治療期間が延長する可能性があります。 |
|
③ |
矯正歯科装置の使用状況、顎間ゴムの使用状況、定期的な通院など、矯正歯科治療には患者さんの協力が必要であり、それらが治療結果や治療期間に影響します。 |
|
④ |
治療中は、装置が付いているため歯が磨きにくくなります。むし歯や歯周病のリスクが高まりますので、丁寧に磨いたり、定期的なメンテナンスを受けたりすることが重要です。また、歯が動くと隠れていたむし歯が見えるようになることもあります。 |
|
⑤ |
歯を動かすことにより歯根が吸収して短くなることがあります。また、歯ぐきがやせて下がることがあります。 |
|
⑥ |
ごくまれに歯が骨と癒着していて歯が動かないことがあります。 |
|
⑦ |
ごくまれに歯を動かすことで歯の神経が障害を受けて壊死することがあります。 |
|
⑧ |
矯正歯科装置などにより金属等のアレルギー症状が出ることがあります。 |
|
⑨ |
治療中に「顎関節で音が鳴る、あごが痛い、口が開けにくい」などの顎関節症状が出ることがあります。 |
|
⑩ |
様々な問題により、当初予定した治療計画を変更する可能性があります。 |
|
⑪ |
歯の形を修正したり、咬み合わせの微調整を行ったりする可能性があります。 |
|
⑫ |
矯正装置を誤飲する可能性があります。 |
|
⑬ |
装置を外す時に、エナメル質に微小な亀裂が入る可能性や、かぶせ物(補綴物)の一部が破損する可能性があります。 |
|
⑭ |
装置が外れた後、保定装置を指示通り使用しないと後戻りが生じる可能性が高くなります。 |
|
⑮ |
装置が外れた後、現在の咬み合わせに合った状態のかぶせ物(補綴物)やむし歯の治療(修復物)などをやりなおす可能性があります。 |
|
⑯ |
あごの成長発育によりかみ合わせや歯並びが変化する可能性があります。 |
|
⑰ |
治療後に親知らずが生えて、凸凹が生じる可能性があります。加齢や歯周病等により歯を支えている骨がやせるとかみ合わせや歯並びが変化することがあります。その場合、再治療等が必要になることがあります。 |
|
⑱ |
矯正歯科治療は、一度始めると元の状態に戻すことは難しくなります。 |
軽度な不正咬合 マウスピース矯正
症状:下の前歯が少しはみ出している
マウスピース型矯正装置を装着
治療後
| 主訴 | 下の前歯がはみ出している |
|---|---|
| 症状 | 下顎前歯部の軽度の叢生、右下中切歯の唇側転位 |
| 治療内容 | 右下中切歯とその両隣の歯が接している部分を少しだけ削り、マウスピース型矯正装置を装着。一日20時間以上、約12か月間使っていただき動的治療を終了した。その後2年半ほど保定観察を行った(半年に一度の来院)。 |
| 年齢 | 16歳 男 |
| 装置 | マウスピース型矯正装置 |
| 抜歯部位 | なし |
| 動的治療期間と 通院回数 |
約1年 15回 |
| 治療費 | 50万円(税込) *初診料・精密検査料・矯正料・処置料等を含む |
| リスク・副作用 | マウスピース型矯正装置は一日に決められた時間、続けてつける必要があります。つけたり外したりでは全く歯が動きません。 外している時間が多いと歯がずれるため、さらに歯を削って新しいマウスピースの作製が必要となります。 |
部分的な矯正治療の標準的な
治療費、治療期間、通院回数
| 治療費(税込) | 45万~55万(税込) *初診料・精密検査料・矯正料・処置料等を含む |
|---|---|
| 治療期間 | 1年6か月~2年 |
| 通院回数 | 20~26回 |
*矯正歯科治療についても、一般的なリスクと副作用が伴います。治療を受けられる方は事前にご一読下さい。
|
① |
矯正歯科装置を付けた後しばらくは違和感、不快感、痛みなどが生じることがありますが、一般的には数日間~1、2週間で慣れてきます。 |
|---|---|
|
② |
歯の動き方には個人差があり、予想された治療期間が延長する可能性があります。 |
|
③ |
矯正歯科装置の使用状況、顎間ゴムの使用状況、定期的な通院など、矯正歯科治療には患者さんの協力が必要であり、それらが治療結果や治療期間に影響します。 |
|
④ |
治療中は、装置が付いているため歯が磨きにくくなります。むし歯や歯周病のリスクが高まりますので、丁寧に磨いたり、定期的なメンテナンスを受けたりすることが重要です。また、歯が動くと隠れていたむし歯が見えるようになることもあります。 |
|
⑤ |
歯を動かすことにより歯根が吸収して短くなることがあります。また、歯ぐきがやせて下がることがあります。 |
|
⑥ |
ごくまれに歯が骨と癒着していて歯が動かないことがあります。 |
|
⑦ |
ごくまれに歯を動かすことで歯の神経が障害を受けて壊死することがあります。 |
|
⑧ |
矯正歯科装置などにより金属等のアレルギー症状が出ることがあります。 |
|
⑨ |
治療中に「顎関節で音が鳴る、あごが痛い、口が開けにくい」などの顎関節症状が出ることがあります。 |
|
⑩ |
様々な問題により、当初予定した治療計画を変更する可能性があります。 |
|
⑪ |
歯の形を修正したり、咬み合わせの微調整を行ったりする可能性があります。 |
|
⑫ |
矯正装置を誤飲する可能性があります。 |
|
⑬ |
装置を外す時に、エナメル質に微小な亀裂が入る可能性や、かぶせ物(補綴物)の一部が破損する可能性があります。 |
|
⑭ |
装置が外れた後、保定装置を指示通り使用しないと後戻りが生じる可能性が高くなります。 |
|
⑮ |
装置が外れた後、現在の咬み合わせに合った状態のかぶせ物(補綴物)やむし歯の治療(修復物)などをやりなおす可能性があります。 |
|
⑯ |
あごの成長発育によりかみ合わせや歯並びが変化する可能性があります。 |
|
⑰ |
治療後に親知らずが生えて、凸凹が生じる可能性があります。加齢や歯周病等により歯を支えている骨がやせるとかみ合わせや歯並びが変化することがあります。その場合、再治療等が必要になることがあります。 |
|
⑱ |
矯正歯科治療は、一度始めると元の状態に戻すことは難しくなります。 |
5.お子様用のマウスピース型矯正装置
(小学生用)
デコボコした前歯(叢生)、上顎前突(出っ歯)、反対咬合などの症状のお子様の初期治療に使う器具です。全体の矯正治療に入る前にデコボコした前歯をある程度治したり、咬み合わせを治したりします。歯が収まる土台の骨を広げたり、顎の発育を促したりする装置です。小学生用に考案された装置ですので無理なく使えます。しかし自分で取り外しが出来ますから、付けたり付けなかったりでは効果がありません。根気よく使うことが大切です。
筋機能矯正用咬合誘導装置(マルチファミリー)
主な対象:デコボコした前歯(叢生)、
上顎前突(出っ歯)、反対咬合-
歯列矯正用咬合誘導装置(ムーシールド)
主な対象:反対咬合
-
機能的矯正装置(バイオネーター)
主な対象:下顎が引っ込んでいるため
出っ歯に見える
歯だけ見ると上の歯が出っ歯に見えるのですが、検査をして調べていくと主な原因が下顎にある場合に使います。つまり歯が収まっている下顎全体の骨が小さく引っ込んだ位置にあるため(下顎が長くしゃくれて見える方の逆のパターン)、前歯が出っ歯に見えてしまいます。
-
拡大床(上顎用)
主な対象:叢生、出っ歯
拡大床(下顎用)
主な対象:叢生、出っ歯
6.歯科矯正用アンカースクリュー

緑色の矢印部が矯正治療用のインプラントです。いろいろな位置に小型のネジをはめて使います。種類も豊富にあります。このインプラントを利用して一度に多くの歯を動かすことができるようになりました。
ネジをはめるときは少しだけ麻酔をするだけです。また矯正治療が終わったら簡単にはずすことができ、元通りになります。
7.保険がきく矯正治療
通常の矯正治療のみで治る方は健康保険の適用にはなりませんが、一部の治療は保険適用になる場合があります。外科手術を必要とする顎変形症、前歯3歯以上の永久歯萌出不全に起因した咬合異常(埋伏歯開窓術を必要とするものに限る)および唇顎口蓋裂など厚生労働大臣が定める疾患に起因する咬合異常は保険適用となります。一番身近な例は「顎変形症」です。「矯正の治療例」のページの「11.顎変形症(外科矯正)」をご覧ください。
なおこの治療は顎口腔機能診断施設のみで受けられます。当院はその施設になっています。











