叢生(八重歯) - 非抜歯 -
歯を抜かなくて治療できた例
矯正治療のため抜歯が必要な場合、必要でない場合?
現代人は歯が収まる顎の骨は小さく、逆に歯のサイズは大きいので中間の歯を抜歯して(間引きして)治療することがあります。しかし全ての患者さんが抜歯をしないと治らないわけではありません。歯を抜いて治療する、しなくて治療できる?その判断基準は?




詳しい治療内容
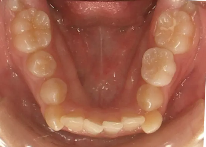
治療前


精密検査の結果、上の歯は奥歯から1本ずつ後ろに引っ込めていくスペースがあると判断した(緑の矢印と枠線)。
下の歯は歯列を横に広げられる(緑の矢印)と判断した。
上の大臼歯を奥に
動かし始めた(緑の矢印)
下の歯列を内側の装置で
広げ始めた
上の大臼歯は上手く動いたので、続いて中間の歯を
奥に動かしていく
(緑の矢印)
歯の外側の装置で
さらに歯列を
広げていく(緑の矢印)
上も下も、歯を抜かなくて歯が並んだ。
同じ患者さんで正面と左横から
歯の動きを見ていきます
治療前
上の奥歯を後ろに動かした後、歯の外側に器具を付けていきます。 (前歯は目立たない透明な器具を使用)。
さらに上の歯のデコボコを治していきます。
全体の歯並びや咬み合わせを治していきます。
歯を1本も抜かなくて治療が終了。やったね!
▼同じような症状で、歯を抜かないと治らない例はこちら
| 主訴 | 八重歯が気になる |
|---|---|
| 症状 | 前歯部叢生(デコボコ)、八重歯 |
| 治療内容 | 上顎は後方部に歯を動かしていくスペースがあると判断して、ペンデュラム装置により大臼歯を奥に引っ込めていった。下顎は歯列の横幅が狭く、これを横に広げることにより叢生(デコボコ)を改善できると考えた。マルチブラケット装置を用いて、歯を1本も抜歯することなく動的治療を行った。その後、上下に取り外しができる保定装置を用いて約2年間保定観察を行った(半年に一度の来院)。 |
| 年齢 | 12歳 女子 |
| 装置 | 歯の表側にブラケット装置、ペンデュラム装置 |
| 抜歯部位 | 抜歯した歯はない |
| 動的治療期間と 通院回数 |
3年6ヶ月 45回 |
| 治療費 | 98万円(税込) *初診料・精密検査料・矯正料・処置料等を含む |
| リスク・副作用 | 上顎は後方に歯を動かすスペースが十分にあるわけではないので、不足する場合は中間の歯を抜歯して治療する可能性がある。このケースは上の歯を一本ずつ後ろに動かして治療していくので時間がかかります。また、ブラッシングが不十分ですと虫歯や歯肉炎を起こすことがあります。 |
全体的な矯正治療の標準的な
治療費、治療期間、通院回数
| 治療費(税込) | 90万~110万(税込) *初診料・精密検査料・矯正料・処置料等を含む |
|---|---|
| 治療期間 | 2年6か月~3年 |
| 通院回数 | 32~38回 |
*矯正歯科治療についても、一般的なリスクと副作用が伴います。治療を受けられる方は事前にご一読下さい。
|
① |
矯正歯科装置を付けた後しばらくは違和感、不快感、痛みなどが生じることがありますが、一般的には数日間~1、2週間で慣れてきます。 |
|---|---|
|
② |
歯の動き方には個人差があり、予想された治療期間が延長する可能性があります。 |
|
③ |
矯正歯科装置の使用状況、顎間ゴムの使用状況、定期的な通院など、矯正歯科治療には患者さんの協力が必要であり、それらが治療結果や治療期間に影響します。 |
|
④ |
治療中は、装置が付いているため歯が磨きにくくなります。むし歯や歯周病のリスクが高まりますので、丁寧に磨いたり、定期的なメンテナンスを受けたりすることが重要です。また、歯が動くと隠れていたむし歯が見えるようになることもあります。 |
|
⑤ |
歯を動かすことにより歯根が吸収して短くなることがあります。また、歯ぐきがやせて下がることがあります。 |
|
⑥ |
ごくまれに歯が骨と癒着していて歯が動かないことがあります。 |
|
⑦ |
ごくまれに歯を動かすことで歯の神経が障害を受けて壊死することがあります。 |
|
⑧ |
矯正歯科装置などにより金属等のアレルギー症状が出ることがあります。 |
|
⑨ |
治療中に「顎関節で音が鳴る、あごが痛い、口が開けにくい」などの顎関節症状が出ることがあります。 |
|
⑩ |
様々な問題により、当初予定した治療計画を変更する可能性があります。 |
|
⑪ |
歯の形を修正したり、咬み合わせの微調整を行ったりする可能性があります。 |
|
⑫ |
矯正装置を誤飲する可能性があります。 |
|
⑬ |
装置を外す時に、エナメル質に微小な亀裂が入る可能性や、かぶせ物(補綴物)の一部が破損する可能性があります。 |
|
⑭ |
装置が外れた後、保定装置を指示通り使用しないと後戻りが生じる可能性が高くなります。 |
|
⑮ |
装置が外れた後、現在の咬み合わせに合った状態のかぶせ物(補綴物)やむし歯の治療(修復物)などをやりなおす可能性があります。 |
|
⑯ |
あごの成長発育によりかみ合わせや歯並びが変化する可能性があります。 |
|
⑰ |
治療後に親知らずが生えて、凸凹が生じる可能性があります。加齢や歯周病等により歯を支えている骨がやせるとかみ合わせや歯並びが変化することがあります。その場合、再治療等が必要になることがあります。 |
|
⑱ |
矯正歯科治療は、一度始めると元の状態に戻すことは難しくなります。 |